欲速,则达
转子承受高达 40 倍G-force离心力,支持最大转速0.25 秒/圈,时间分辨率可达125 毫秒,为各类复杂心脏成像提供有力保障。
电磁传输替代传统机械传动装置,静谧机架运行兼具超低磨损率,大幅提升系统稳定性和可维护性,超高电机功率有效保障机架高转速性能。
ASIC全数字一体化电子学设计使得探测器具备快速数据读取和传输能力,配合高转速性能实现高数据高采样率、高效处理。
臻于至善,进化先锋
以速度驾驭高质影像,因智慧成就流畅体验。uCT 860秉承联影超高端CT 天河技术平台优势,不断突破时间分辨率极限,全面精进影像链实力,结合AI深度赋能扫描工作流,稳妥守护每一处细节。多场景、多维度影像解决方案为临床提供更自信、更全面的诊断依据。
影像链实力全面精进
至速性能,驭服毫秒
冠脉扫查流畅体验
至睿智能,进化先锋
多场景多维度影像解决方案
至臻影像,拓展无界
320层宽体时空探测器
一体化3D 防散射光栅技术
采用3D打印精密工艺生产,149760 个不同形态栅格单元应对每个探测器单元,精准对焦X射线焦点全方位遮挡散射光子,显著降低散射对于宽体成像影响。
0.5 mm 精细像素采集
0.5mm精细探测器单元尺寸,有效减少部分容积效应,显著提升图像空间分辨率。
转子承受高达 40 倍G-force离心力,支持最大转速0.25 秒/圈,时间分辨率可达125 毫秒,为各类复杂心脏成像提供有力保障。
电磁传输替代传统机械传动装置,静谧机架运行兼具超低磨损率,大幅提升系统稳定性和可维护性,超高电机功率有效保障机架高转速性能。
ASIC全数字一体化电子学设计使得探测器具备快速数据读取和传输能力,配合高转速性能实现高数据高采样率、高效处理。
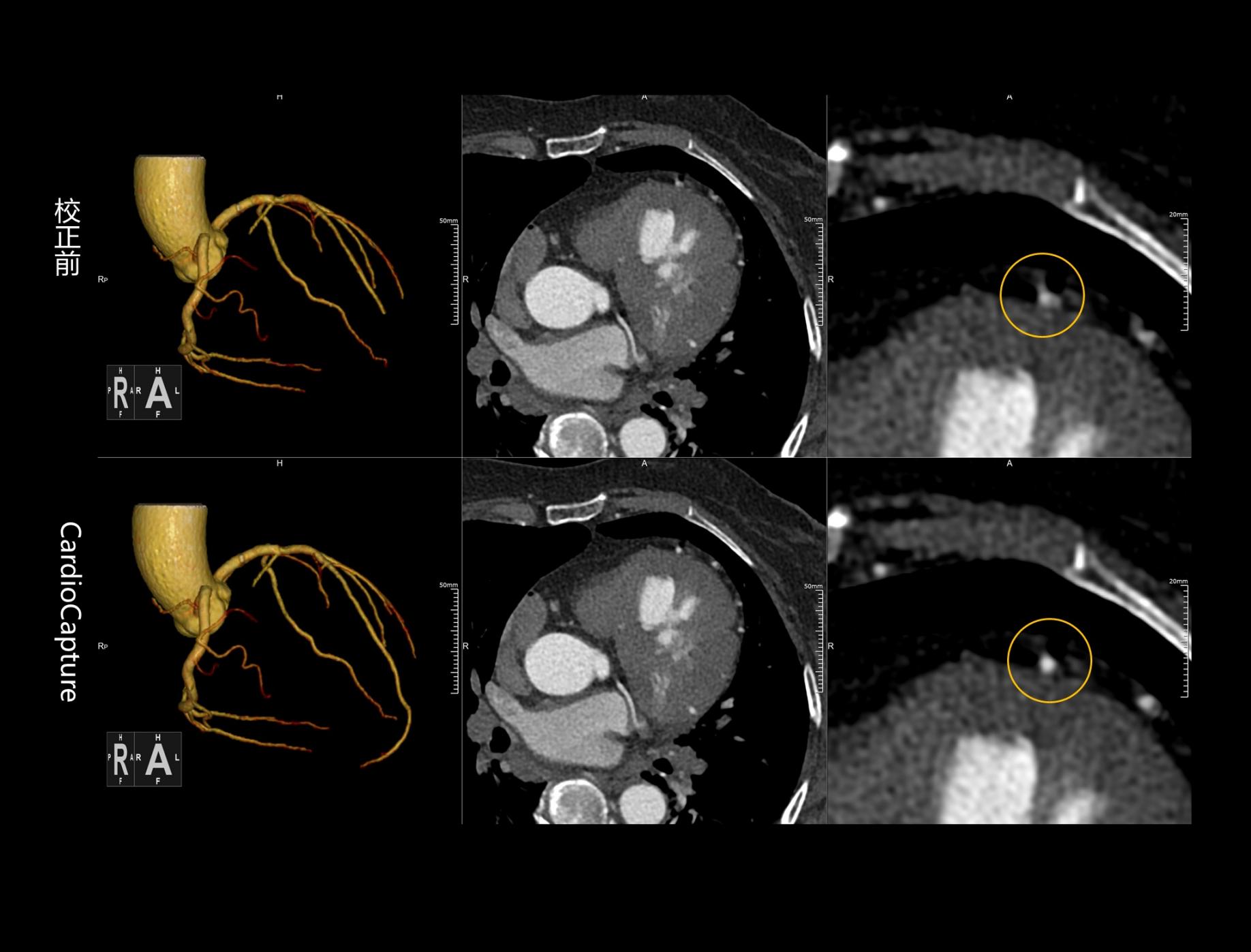
CardioCapture 冠脉追焦技术
AI深度学习冠脉中心线提取
CardioCapture AI冠脉追焦技术基于深度学习网络,充分学习各类冠脉图像,以适应不同冠脉场景,精准高效完成冠脉及中心线提取,相较于仅基于CT值和固定解剖模型的传统算法,CardioCapture对于小血管及末端血管显示优势更加显著。
超高时间分辨率
CardioCapture算法采用多时相数据重建,构建更加精细化的冠脉运动向量场,有效提升冠脉运动评估精准度,等效时间分辨率最高可达21毫秒。
全面捕捉患者体位信息,实现智能定位、智能等中心摆位,大幅简化冠脉扫查工作流。
以患者心率情况为依据,自动推荐门控采集范围和剂量调制参数,在适当曝光范围内获得优质图像。
冠脉扫描过程中自动检测异常搏动的心动周期,并实时调整曝光方案,轻松应对心律不齐患者检查。
为各心动周期自适应选择质量最佳的重建相位,有效提升高心率及心律不齐患者冠脉扫描质量。
0.25 秒/圈超高机架转速,8cm探测器覆盖范围和440mm/s水平床速,快至2秒完成胸/腹螺旋扫描。
助力房颤患者心源性卒中风险评估、结构性心脏病患者冠脉、瓣膜、主动脉同时评估,以及胸痛三联征检查等复杂应用。
心脏-血管联合智能分析可以实现一站式提取多种血管并联合显示,包括头颈部血管、胸腹部血管、冠脉血管、多部位联合血管等,简化传统分步血管提取的复杂处理流程,有效提高诊断效率。
动态摇篮床技术支持高达40 cm 超大动态扫描范围,可进行头部平扫、动态CTA及CTP成像,一次检查即可获得全脑平扫图像、动静脉造影图像和灌注图像。
高清迭代重建技术可大幅降低全脑动态扫查的辐射剂量,配合高性能重建硬件平台,为急诊卒中患者节省宝贵诊疗时间。
集成脑灌注分析、4D动静脉动态评估等高级应用,助力临床急诊缺血性脑卒中、脑血管畸形、脑动脉瘤等各类脑血管疾病的结构与功能评估。
随扫描曝光同步进行实时三维图像重建,在断层图像基础上同时提供VR、MPR多维图像信息,辅助医生快速判断急性病症,有效提升诊断准确率和敏感性。
全自动分割、展开、拉直肋骨并自动标记解剖标签,多角度多层面清晰直观显示骨折,助力医生快速、精准诊断,避免隐匿性骨折、无错位轻微骨折的遗漏。
高清迭代算法为各种特殊原因下无法进行标准体位扫描的患者提供一致的高质量图像。金属伪影校正算法可明显减轻伪影干扰,显著优化植入物与周围组织对比度。
8cm宽体探测器支持儿童多器官快速覆盖,有效提升扫描速度,降低对儿童镇静需求,减少不必要的重复扫描。
60kV低管电压模式可大幅降低婴幼儿扫描辐射剂量,配合uDose智能mA调节、KARL 3D迭代降噪算法,实现低剂量扫查与高质量影像兼得。
与成人相比,儿童细胞分裂速度更快,对辐射更为敏感且受影响时间更长,uCT 860提供婴儿和儿童扫描协议,用户也可以根据自身需要自定义儿童扫描协议。