光梭®1.5T磁共振
光梭®1.5T磁共振
uMR 588首次在1.5T领域搭载了以压缩感知为核心的光梭®2.0成像平台,赋能全身全部位光梭快速成像、2s/期腹部动态多期增强以及光梭高清弥散成像,引领1.5T进入全身压缩感知加速新时代。
引领1.5T压缩感知应用
光梭®2.0 快速高清
全新临床体验
全面应用 精准定量
自动进床、定位,一键多协议规划
智能扫描 标准高效
光梭®2.0成像技术
以压缩感知技术为核心,融合主流磁共振成像加速技术,智能优化数据采集模式,全面进入光梭成像2.0时代,大幅提升磁共振检查的扫描速度和图像质量。
光梭®2.0成像应用
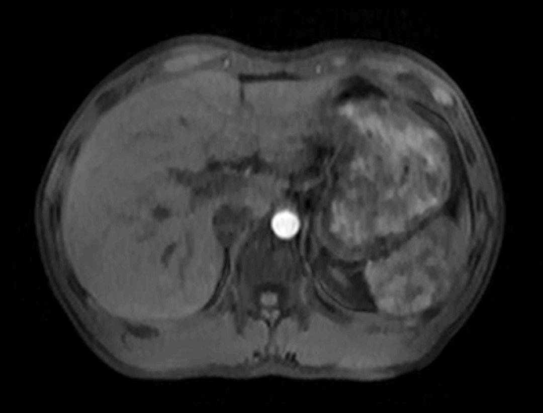
光梭®2.0成像应用于磁共振腹部动态增强扫描,可实现16倍采集加速,清晰捕捉组织信号连续动态变化,精准捕获腹部动态影像的每一瞬间,实时、全方位锁定病灶。
参数定量
精确计算时间参数图,为各脏器病变提供临床及科研所需的定量数据。
脂肪定量
无创检测组织内脂肪含量及铁沉积,一次扫描输出多参数图像,可以同时提供精确脂肪含量值以及铁沉积程度。
多参数神经成像
提供FA,RA,ADC,Color FA等参数图,能够反映组织内水的运动速度和方向,为疾病诊断,例如脑白质病变提供精准信息。
波谱成像
用于研究人体内代谢含量分析,完成活体组织代谢物水平的无创检测。